吓人!两位“低头族”长期玩手机、用电脑,竟然脑子“漏水”了!
文章来源:杭州新闻客户端 2020年7月29日
上班时间用电脑,下班时间玩手机。除了眼睛受伤,很多人年纪轻轻颈椎也不行了。当“低头族”到底有多伤人?我们来看看两个案例
案例一
36岁的宋先生(化名)是杭州一家公司的业务员,两个月前,宋先生突然觉得右侧的头像针刺般地疼,耳朵也闷闷的,听东西刺耳。当天睡了一觉后,宋先生觉得头痛减轻不少,他以为只是工作太累缺少休息。没想到,白天起来上班没几个小时,又开始头痛难忍,已经没法正常工作和生活了。痛苦的宋先生辗转去了多家医院看病,但都没看出什么来。
后来,他经人介绍挂了浙江大学医学院邵逸夫医院神经内科的号,医生详细问诊和检查后,很快就“破案”了,宋先生得的是自发性颅内低压。检查发现,宋先生的颈椎已经有多节段退变,多个椎间盘突出伴钙化,形成的局部骨刺,竟然穿破了硬脊髓膜,造成脑脊液外漏,最终导致颅内低压。医生追问病史发现,宋先生空闲时间喜欢宅在家里玩手机,甚至走路的时候也会捧着手机,是个妥妥的“低头族”,平时也很少运动,有时候感觉到脖子酸胀不适也不当回事。

宋先生的脊柱磁共振检查可见第2、3胸椎之间有“骨刺”形成(红箭头)刺破硬脊髓膜,造成脑脊液外漏(蓝箭头)医院供图
案例二
无独有偶,今年25的小江(化名)最近也因为类似问题住进了邵逸夫医院神经内科。
小江是一位幼儿教师,上半年因为疫情影响需要给学生线上讲课,“原本颈椎就不好,线上课程需要重新备课,策划内容、准备PPT需要长时间电脑工作,花了很多时间准备,确实很疲劳”。一周前,小江开始感觉头晕、头重脚轻,逐渐变成直立性头痛(就是站着或坐着时,即刻出现头痛,全头发胀昏沉,后颈部和肩部发酸,平躺后即好转)。
到邵逸夫医院神经内科检查,很快明确诊断为颅内低压并伴有硬膜下出血。检查显示,小江的颈段椎间盘退变,形成骨刺并刺破了硬脊髓膜,造成了脊髓脑脊液渗漏,颅内压力过低还造成了脑膜血管撕裂和硬膜下出血。
6
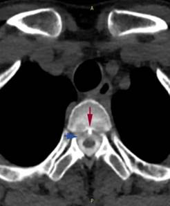
小江的脊柱磁共振检查可见第1、2胸椎之间有“骨刺”形成(红箭头)刺破硬脊髓膜,造成脑脊液外漏(蓝箭头)医院供图
站立时头痛,躺下头不痛 警惕低颅压
浙江大学医学院附属邵逸夫医院神经内科副主任王谨主任医师解释:自发性颅内低压是由于脊髓脑脊液渗漏,导致脑脊液容量减少所产生的。“我们的脑子和脊髓腔是一个密闭的囊腔,脑脊液充满在囊腔中起到了托浮作用,避免脑神经受到震荡。一旦脊髓部位的囊腔(硬脊膜)发生破口,导致脑脊液渗漏、容量减少,就会导致低颅压。”
低颅压最常见的表现是:站立时头痛,躺下头痛缓解。但部分患者可发生颅内出血、脑子下沉等严重并发症,威胁生命。
亚洲最大颅内低压诊治中心数据显示
近一半低颅压患者脑脊液漏与脊柱骨刺有关
脊髓脑脊液渗漏最常见原因是先天性脊膜发育薄弱。
但是,近几年来我们发现越来越多的患者并没有先天发育异常,而是脊柱骨关节退化增生,久而久之形成骨刺,骨刺刺穿硬脊髓膜,最后导致脑脊液外漏。
据国外报道,近三分之一的低颅压脑脊液漏患者由骨刺造成。
作为亚洲最大的颅内低压诊治中心,邵逸夫医院最近2年的数据表明,有近50%的低颅压患者检查发现脑脊液漏与脊柱骨刺形成相关!
低头族、久坐族当心 越来越多年轻人开始脊柱退变
脊柱退变与年龄、生活习惯相关,一般以中老年患者居多,但近年来患者明显年轻化。检查发现,20-30岁年轻患者也有多节段椎间盘突出伴骨刺形成。
询问平时的生活习惯,多是屏幕操作时间长的“低头族”,久坐不爱运动。
脊柱退变严重时造成颈椎病、腰椎病,会表现为颈肩腰部疼痛、肢体麻木无力等神经压迫症状。我们发现的病例的脊柱退变虽然没有这些严重的压迫症状,但形成的小骨刺还是可以穿破脊髓膜,造成脑脊液外漏的严重后果。
宋先生和小江也是幸运的,经过精确的漏点定位检查和硬膜外血贴治疗后,头痛很快得到了缓解。
王谨主任医师强调,脊膜破口修补后症状可以缓解,但如果骨刺进一步长大,仍有可能再次刺破脊髓膜。患者后续必须改变生活习惯,减少低头时间,改变手机不离手的习惯,并在医师指导下练习颈椎操,避免再次复发。
通讯员 | 王家铃 李文芳